實驗意義
1. HE染色是石蠟切片技術中最基本、zui常用的染色方法之一-。可廣泛應用于組織學、病理學檢測及科學研究等。
2. HE染色可觀察到組織、細胞成分以及病變的形態結構。
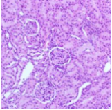
病理分析:腎小球輪廊不規則,彌漫性節段性硬化,大部分腎小表腔狹窄或消失,球袁粘連,腎小袁內無異物,腎小球內及*周可見少許淋巴細胞及中性粒細胞浸潤,腎小管.集合管排列尚緊密整齊。腎小管上皮細胞部分空泡變性,完整胞核呈圓形。腎間質少許淋巴細胞浸潤,小動脈管壁增厚,管腔狹窄,玻璃樣變性、硬化。
實驗完成周期及交付標準
1.實驗周期: 1-2周
2.交付標準:蠟塊、切片、染色圖片.實驗報告(試劑、儀器、材料等)
需確認的信息
1.樣本種屬?
2.樣本類型(固定液固定組織or蠟塊or切片)
3.取材要求?橫切還是縱切?
4.拍照要求,需要幾個倍數,是否需要掃描?
[平臺項目開展范圍]慢病毒,腺病毒,RNAi類,分子生物實驗,病理實驗,免疫學實驗,細胞實驗,動物實驗,蛋白組學實驗,芯片類實驗,并為廣大客戶朋友們提供課題設計指導、基金申請指導、SCI. 核心期刊等服務。















客服01